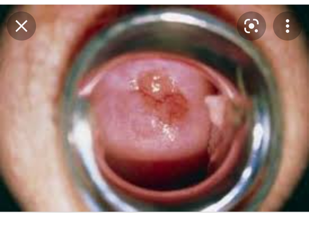
Кабинет женский смотровой работает с 8.00 до 17.00. Проводит осмотр женщин на онконастороженность. На наличие каких либо злокачественных новооброзований.. Осмотр молочных жилез, осмотр щитовидной железы, осмотр ротовой полости, шейки матки, бимануальное исследование, обследование прямой кишки. И кожных покровов. Женщин с подозрением отправляем к специалистам.
View the embedded image gallery online at:
https://www.gp5-taraz.kz/about/allnews/603-zhenskij-smotrovoj-kabinet#sigProId6fb3280c0f
https://www.gp5-taraz.kz/about/allnews/603-zhenskij-smotrovoj-kabinet#sigProId6fb3280c0f