Туберкулез

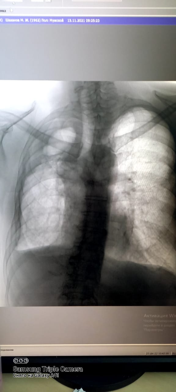
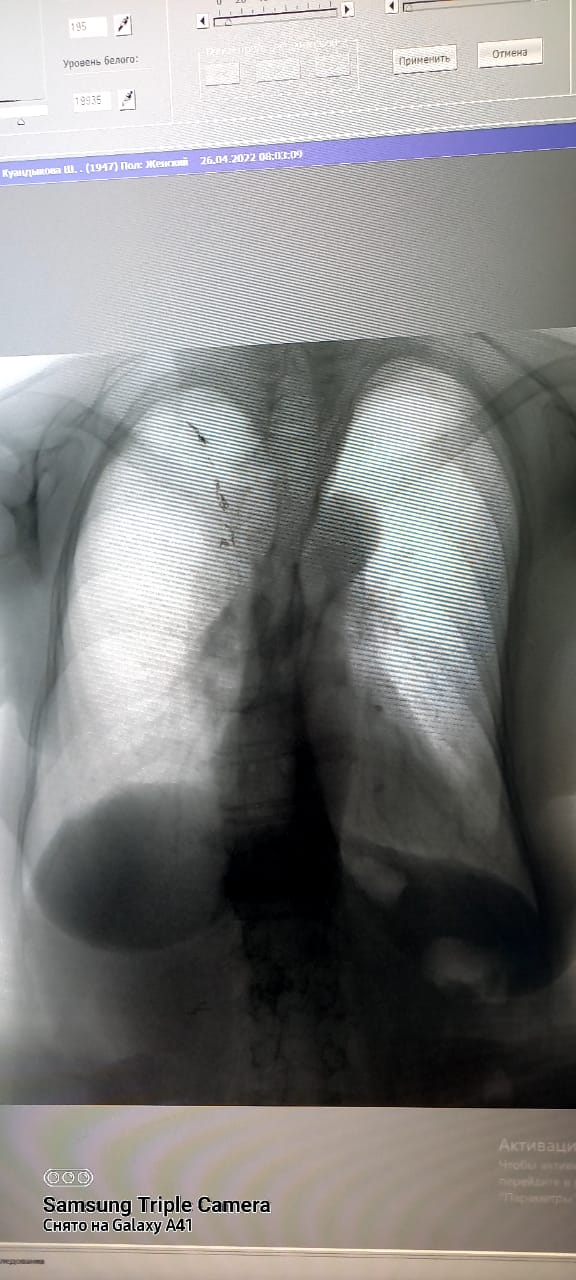
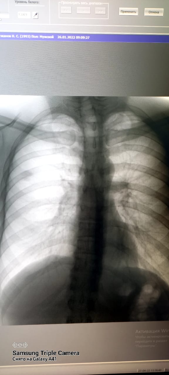
Туберкулез-инфекционное заболевание, возбудитель которого является Мycobacterium tuberculosis. Основной путь передачи туберкулезной инфекции-воздушно-капельный. Основным источником распространения инфекции являются больные туберкулезом легких. Передача заболевания происходит при вдыхании человеком зараженного микобактериями воздуха. Обычно заражение происходит в посещениях. Проветривание и хорошая вентиляция удаляют капельку из воздуха помещения, а прямые солнечные лучи быстро убивают микобактерии туберкулеза. Туберкулез излечим. Для выявления туберкулеза и других заболеваний используется в городской поликлинике №5 имеется новый флюорографический аппарат "ПРОСКАН-2000". Исследования проводятся с 15-летного возроста и старше, и по показаниям флюорография проводится 2 раза в год.

5b380e1e 29dc 4135 8c82 f4d181ba8c2d

f888d545 cef4 4ee7 9872 374260dfa58d

e4904e00 388e 43c5 a237 153ee99dbf31