Рак полости рта

Рак полости рта развивается в клетках, выстилающих ее внутреннюю поверхность. Такие опухоли относят к злокачественным, поскольку они способны прорастать в окружающие ткани, разрушать их и создавать новые очаги заболевания в других областях организма.

Как возникает рак полости рта?

С момента рождения в теле человека образуются не только обычные клетки, но и неправильные – измененные. Они становятся такими из-за влияния вредных веществ, наследственных особенностей или случайных сбоев. Большинство из них выявляет и уничтожает иммунитет, но некоторым все же удается противостоять нашей естественной защите и не только выживать, но и создавать множество своих копий. Со временем из них формируется опухоль, клетки которой обладают крайне опасными свойствами. Они бесконтрольно размножаются, игнорируют природный механизм естественной смерти – апоптоз, благодаря которому ткани постоянно обновляются, и существуют гораздо дольше, чем длится нормальный жизненный цикл. Кроме того, они попадают в кровеносную и лимфатическую системы, по их сосудам распространяются в любые части тела, закрепляются и создают дополнительные очаги онкологии – метастазы.

Подавляющее большинство подобных новообразований развивается из плоских клеток, выстилающих внутреннюю – слизистую оболочку ротовой полости. Их особая разновидность – веррукозная карцинома, чаще всего возникает в деснах и щеках.


Реже встречаются аденокарциномы, образующиеся в клетках малых слюнных желез, и саркомы, поражающие соединительную, или поддерживающую ткань, формирующую в том числе мышцы, жир и стенки сосудов.

 

Причины развития рака полости рта

Точные причины, приводящие к появлению подобных опухолей, врачам до сих пор не известны – на сегодняшний день медицинскому сообществу удалось выявить только факторы, повышающие вероятность их образования.

  • Употребление табака: большинство пациентов курили сигареты, трубки или сигары, либо подвергались воздействию других форм табака, в том числе жевательного или нюхательного. У людей, которые не отказываются от вредной привычки даже после постановки диагноза, раны заживают хуже, а побочные эффекты от лучевой и химиотерапии проявляются сильнее.

  • Относят к ним и алкоголь, причем чем больше человек принимает спиртного, тем сильнее рискует.Сочетание этих двух факторов примерно в 30 раз увеличивает шансы возникновения заболевания.
  • ВПЧ, или вирус папилломы человека, приводящий к появлению вытянутых, похожих на бородавки наростов. Данная инфекция повышает вероятность развития рака некоторых органов, в том числе полового члена, горла, анального края, шейки матки, вульвыи влагалища. В последние годы количество случаев связанных с ВПЧ опухолей полости рта значительно возросло. Они все чаще встречаются у молодых людей, имевших нескольких половых партнеров, но не злоупотреблявших алкоголем и табаком. Как правило, у таких пациентов неплохие прогнозы, поскольку химио- и лучевая терапия эффективно разрушают подобные новообразования, но только если их обладатели не курят.
  • Избыточная масса тела.
  • Пол: у мужчин заболевание возникает в 2 раза чаще, чем у женщин.
  • Ультрафиолет. Опухоли губы нередко образуются у работающих на открытом воздухе, поскольку они подвергаются воздействию солнечных лучей на протяжении длительного времени.
  • Возраст. Данный тип рака редко обнаруживается у молодых людей, поскольку обычно он развивается на протяжении многих лет. Большинству пациентов на момент постановки диагноза уже исполнилось 55 лет. Исключение составляют вызванные ВПЧ опухоли – они чаще выявляются до 50 лет.
  • Неправильное питание. Некоторые исследования показали, что диета с низким содержанием фруктов и овощей также может спровоцировать возникновение заболевания.

Риск развития рака ротовой полости заметно повышен у обладателей наследственных синдромов, вызванных изменениями в генах:

  • Анемия Фанкони, приводящая к нарушению кроветворения – созданию недостаточного количества некоторых клеток крови, и развитию опухолей.
  • Врожденный дискератоз, вызывающий повышенное потоотделение конечностей, проблемы с ногтями, кожную сыпь и закупорку слезных каналов.

Некоторые исследования показали, что увеличить подобную вероятность способны и другие факторы – применение жидкости для полоскания рта с высоким содержанием алкоголя, раздражение от зубных протезов и плохая гигиена полости рта.

 

Симптомы и признака рака полости рта

Развивающаяся опухоль может привести к появлению одного или нескольких из нижеперечисленных симптомов:

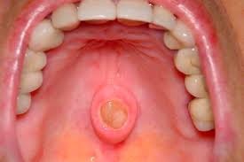
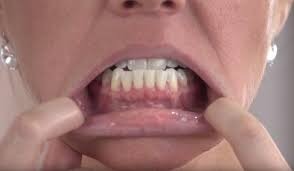
  • Не заживающая язва или болячка на губе или во рту.
  • Белые или красные пятна на деснах, языке, миндалинах или слизистой оболочке рта.
  • Сложности при жевании или глотании.
  • Не проходящая боль во рту.
  • Нарушение движений челюсти или языка.
  • Припухлости или уплотнения на губах, во рту или на щеке.
  • Боль или дискомфорт в горле, ощущение застрявшего в нем «комка».
  • Онемение языка, губ или другой области рта.
  • Изменение голоса.
  • Новообразования в шее или задней части горла.
  • Боль в ухе.
  • Потеря веса.

Многие из этих симптомов могут быть вызваны различными заболеваниями, в том числе другими видами рака. Если как минимум один из них не проходит на протяжении более чем 2 недель, необходимо обязательно обращаться за медицинской помощью.

Диагностика рака ротовой полости

Некоторые виды новообразований обнаруживаются во время обычного медицинского осмотра, но немалая их часть выявляется при обращении к врачу из-за появления беспокоящих симптомов.

Диагностика начинается с опроса о проблемах со здоровьем, дате их появления и возможных факторах риска, и продолжается рядом исследований:

  • Непрямая ларингоскопия – изучение состояния горла, основания языка и части гортани с использованием маленьких зеркал на длинной ручке.

  • Прямая, или гибкая ларингоскопия: введение в рот или нос эндоскопа – гибкой трубки с источником света и камерой на конце для осмотра труднодоступных областей.

Также с помощью специализированных эндоскопов проводятся другие процедуры, в ходе которых врач убеждается в отсутствии поражений других тканей:

  • Эзофагоскопия – оценка тканей внутренней поверхности пищевода, по которому пища проходит из ротовой полости в желудок.

 

  • Бронхоскопия – исследование проводящей воздух трахеи и бронхов – дыхательных путей в легких.

Во время их выполнения проводится биопсия – забор подозрительных тканей для изучения свойств клеток, из которых она состоит. На сегодняшний день данный метод является единственным способом, позволяющим устанавливать точный окончательный онкологический диагноз.


Эксфолиативная цитология. Врач соскребает клетки с интересующей его области, наносит их на предметное стекло и окрашивает красителем. Если хотя бы одна из них выглядит необычно, специалист назначает биопсию.


Инцизионная биопсия – в ее ходе небольшое количество тканей вырезается из подозрительного участка.


Тонкоигольная аспирационная биопсия – вытягивание клеток из опухоли с помощью введенной через кожу иглы. Как правило, назначается при выявлении уплотнений на шее и для обнаружения измененных клеток в лимфатических узлах.

  • Лабораторное исследование: выявление неправильных клеток, определение их типа и степени отличия от нормальных.
  • Тестирование на ВПЧ – вирус папилломы человека. Данный анализ необходим для определения стадиизаболевания, понимания его возможного течения и выбора правильного лечения.

Визуализирующие исследования: используются для выявления подозрительных областей и необычных тканей, оценки распространения раковых клеток по организму и эффективности лечения, а также для поисков признаков рецидивов – повторного развития опухоли:

  • КТ, компьютерная томография. Специальный аппарат создает множество рентгеновских снимков под различными углами и проекциями, после чего объединяет их в одну подробную «картинку». КТ позволяет определять расположение новообразования и его размеры, а также обнаруживать повреждения лимфатических узлов, легких и других органов. Кроме того, под контролем КТ проводится биопсия – с ее помощью игла точно направляется в подозрительный участок.
  • МРТ, магнитно-резонансная томография – сканирование, позволяющее изучать состояние мягких тканей без использования вредного излучения. МРТ назначается в том числе для выявления прорастания опухоли в костный мозг, даже при наличии большого количества искажающих КТ-снимки пломб.

  • ПЭТ, позитронно-эмиссионная томография. До начала процедуры пациенту вводится радиоактивное вещество, которое накапливается в измененных клетках. Затем выполняется ПЭТ, обнаруживающая любые, даже самые небольшие их очаги. При необходимости проводится ПЭТ/КТ, сочетающая возможности обоих методов. Данное исследование используется при подозрении на распространение рака в другие органы и диспансерном наблюдении после окончания лечения.

  • Рентгенс барием. Данное вещество проглатывается, обволакивает стенки горла, пищевода и желудка, и делает изображения на снимках более четкими.

  • УЗИ– зучение состояния внутренних тканей шеи, включая лимфатические узлы, с помощью звуковых волн и их эха. Кроме того, УЗИ также применяется для контроля введения иглы при биопсии.

Перед назначением любого лечения проводятся дополнительные исследования:

  • Анализы крови. Ни один из них не способен выявить рак – такие тесты необходимы для оценки количества различных типов клеток крови и качества работы внутренних органов, таких как печень или почки.

 

  • ЭКГ, электрокардиограмма – назначается для выявления нарушений функционирования сердца.

  • Стоматологический осмотр для обнаружения любых проблем с зубами. Эту процедуру относят к обязательным, поскольку радиация может повредить слюнные железы и вызвать сухость во рту, что приводит к развитию кариеса, инфекций и разрушению кости челюсти.

  • Тестирование слуха до начала любых вмешательств для оценки влияния на него химиотерапевтических препаратов.

Стадии рака полости рта

 

После выявления заболевания врачи приступают к определению его стадии – выявлению всех поврежденных раком тканей. Эта информация необходима им для правильной оценки ситуации, примерных перспектив пациента и выбора для него самого подходящего лечения.

Стадирование проводится по международной система TNM, принимающей за основу 3 ключевых элемента:

  • Т: размеры первичной опухоли и ее прорастание в ближайшие ткани.
  • N: распространение измененных клеток на лимфатические узлы – “фильтры” иммунной системы, задерживающие и обезвреживающие опасные вещества.
  • М: наличие или отсутствие в организме метастазов – дополнительных раковых новообразований в различных частях тела, таких как легкие.

 

Стадии:

0, или карцинома in situ: неправильные клетки есть только в эпителии, выстилающем ротовую полость.


I. Они сформировали опухоль размером менее 2см.
II. Диаметр очага составляет от 2см до 4см, другие ткани здоровы.
III. Новообразование имеет любой размер – от минимального до более чем 4см. Возможно, его клетки проросли в 1 ближайший лимфоузел, расположенный на той же стороне тела, что и первичный очаг.
IVА. Основная опухоль любого размера. Пострадали кости челюсти или лица, глубокие мышцы, кожа лица или язык, и, возможно, лимфатические узлы, размеры которых не превышают 6см.
IVВ. Повреждены основание черепа, другие ближайшие кости или ткани, окружающие сонную артерию, которая обеспечивает приток крови к мозгу. Возможно, измененные клетки распространились в лимфатические узлы.
IVC. В организме обнаружены метастазы – новые раковые опухоли в структурах, расположенных далеко от ротовой полости.

Современные возможности органосохранных операций при опухолях головы и шеи.

Лечение рака полости рта

Перед началом любой терапии очень важно отказаться от курения, так как воздействие табака

  • приводит к целому ряду тяжелых последствий:
  • плохому заживлению ран, в том числе послеоперационных;
  • увеличению количества побочных эффектов от химиотерапии;
  • повышению вероятности заражения различными инфекциями;
  • продлению сроков нахождения в медицинском учреждении;
  • снижению эффективности лучевой терапии;
  • повышению риска смерти.

Тактика лечения зависит от множества факторов – распространенности заболевания, общего состояния здоровья пациента, расположения опухоли и типа клеток, из которых она состоит.

0 стадия, карцинома in situ


Измененные клетки есть только в поверхностном слое слизистой оболочки, но при отсутствии вмешательства они могут прорости и в более глубокие структуры.

Как правило, лечение представляет из себя хирургическое удаление поврежденных и небольшого количества окружающих их здоровых тканей. Затем назначается наблюдение, а при повторном развитии заболевания проводится лучевая терапия – разрушение раковых клеток при помощи радиации.

I и II стадии


Основной метод борьбы с новообразованиями полости рта, передней части языка, внутренней части языка, десен и твердого нёба на данных этапах – хирургия.

При необходимости удаляются лимфатические узлы на шее, которые проверяются на наличие онкологии.

Если в ходе операции не удается изъять все очаги, дополнительно назначаются лучевая, либо химиотерапия – прием препаратов, уничтожающих измененные клетки.
Некоторым пациентам подобная тактика не подходит из-за других проблем со здоровьем, так как они не могут перенести операцию. В таких случаях в качестве основного лечения может быть проведена лучевая терапия.

III и IVА стадии


К данному этапу относят опухоли, проросшие в ближайшие ткани и, возможно, распространившиеся на ближайшие лимфатические узлы на шее. Как правило, их удаляют в ходе операции, после чего оставшиеся неправильные клетки уничтожают с помощью либо лучевой, либо химиотерапии.

IVB и IVC стадии


Пациентам с IVB стадией при невозможности хирургического изъятия очага заболевания может быть назначена «химия», при необходимости – совместно с облучением.


IVC обычно предполагает сочетание нескольких методов:

  • химиотерапия;
  • таргетная терапия – вещества, воздействующие только на определенные изменения в раковых клетках, и практически не влияющие на здоровые ткани;
  • и иммунотерапия – препараты, помогающие собственному иммунитету человека выявлять и уничтожать неправильные клетки.

Лучевая терапия обычно проводится для облегчения имеющихся симптомов или предотвращения появления новых проблем со здоровьем.

 

Рецидив – повторное развитие рака после проведенного лечения.
Опухоль может вернуться в то же место, где появилась впервые, образоваться рядом с ним, в ближайших лимфатических узлах или других органах. Способы борьбы с ней зависят от ее размеров, расположения и ранее применявшихся методов терапии.

Если она образуется в той же области и на нее уже воздействовали облучением, часто следующим шагом становится хирургия при возможности ее применения. Если операция уже была проведена, врачи рекомендуют ее повторение, лучевую, химио-, таргетную или иммунотерапию, либо их комбинацию.

При формировании новообразования в другой части тела часто используются химио- и/или таргетная терапия, либо иммунотерапия плюс «химия». Эти методы лечения могут уменьшить очаг или замедлить его рост на некоторое время, но вылечить их крайне сложно.

 

Прогнозы и выживаемость при раке полости рта

Врачи определяют примерные прогнозы, ориентируясь на данные специального показателя – «пятилетней выживаемости». Он ничего не говорит о шансах каждого конкретного человека и представляет из себя статистическую выборку – количество больных на определенной стадии, оставшихся в живых через 5 или более лет после выявления рака.

Для новообразований губы эта цифра составляет:

  • на локализованном этапе, пока неправильные клетки находятся только в пределах органа, в котором они появились – 94%;
  • при их распространении на ближайшие ткани или лимфатические узлы – 66%;
  • при появлении метастазов – дополнительных очагов заболевания в различных областях тела, таких как легкие – 32%.

Для опухолей языка: 82%, 68% и 40% соответственно.
Для полости рта: 76%, 38% и 20%.

Данные цифры относятся только к той стадии, на которой рак удалось обнаружить впервые, и не применяются к рецидивам – повторному развитию заболевания.

Важно отметить, что «пятилетняя выживаемость» учитывает только стадию онкологии и место возникновения новообразования, и не принимает в расчет важные факторы – возраст пациента, его общее состояние здоровья и наличие других тяжелых заболеваний.