Курение опасно для вашего здоровья!
Табачная химия вредит всем органам без исключения. По данным Всемирной Организации Здоровья (ВОЗ) потребление табака связано с возникновением не менее чем 25 заболеваний. Потребление табака считается наиглавнейшей причиной смертности в мире.
Табак обладает концерогенным действием, вызывая рак не менее чем в 12 различных частях тела: в легких, полости рта, носовой полости, параназальном синусе, в гортани, в горле, в пищеводе, поджелудочной железе, желудке, печени, почечной лоханке, желчном пузыре. Также табак вызывает миелоидный лейкоз, то есть, рак крови.
Табак также является фактором риска развития сердечно-сосудистых заболеваний (40% случаев), хронической обструктивной болезни легких (80% случаев), злокачественных опухолей (30% случаев, в т.ч. 90% случаев рака легких). При воздержании от табака 40% этих болезней можно предотвратить.
Риски для здоровья при потреблении табака:
o Дыхательные пути – бронхит, хроническая обструктивная болезнь легких, рак легких.
o Органы кровообращения – повышение давления, ускорение пульса, сужение артерий (гангрена), повреждение внутренней оболочки артерий (инсульт, инфаркт).
o Пищеварительные органы – нарушения работы желудка, язвы желудка.
o Полость рта – воспаления десен, рак полости рта.
o Кожа – быстрое старение, серость и бледность кожи.
o Половые органы – бесплодие, импотенция.
o Зародыш человека – преждевременные роды, недовес, плохое здоровье.
o Психика – зависимость.
o Общее здоровье – укорачивает предполагаемый срок жизни.
Смотрите, что именно курение делает с вашим организмом.
Далее читайте, что изменилось в вашем организме с того момента, когда вы начали курить.
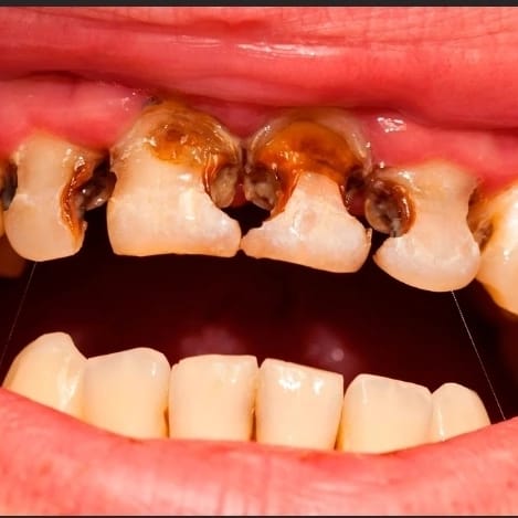
Влияние курения на ротовую полость
Десны курильщика раздражены и болят.
Заболевания десен, вызванные потреблением табака – воспаление десен, воспаление тканей вокруг зубного корня и бактериальный налет, могут привести к:
o опуханию и болезненности десен,
o кровоточивости,
o отхождению десен от основания зуба,
o разрушению и выпадению зубов, вкусовой чувствительности.
Потребление табака повышает риск рака полости рта.
Рак полости рта возникает на губах, языке или внутренней стороне щек (предраковое состояние). Рак губ и рак языка – агрессивные и быстро развивающиеся формы рака. Также рак может возникнуть в горле, глотке, на миндалинах. 90% этих случаев рака напрямую связаны с потреблением табака.
При отказе от курения уменьшается зубной налет. Также снижается риск заболеть раком полости рта.
Влияние курения на сердце и кровообращение
Для курильщика риск заболеть сердечно-сосудистой болезнью в 2–4 раза выше, чем для некурящего человека. Заболевания сердчено-сосудистой системы являются главной причиной смерти во всем мире.
o Потребление табака может привести к инфаркту и инсульту.
o Курение вызывает нарушения периферийного кровоснабжения в конечностях. Появляются болезненные спазмы, онемение, мурашки и чувство усталости в ногах. Недостаток кровоснабжения увеличивает риск инфекций, вызывает гангрену и необходимость ампутации конечности.
Если вы бросите курить, риск инфаркта снизится, к тому же вам не придется терпеть спазмы в ногах, поскольку лучшится кровоснабжение.
Влияние курения на дыхательные пути
o Химические вещества, содержащиеся в табачном дыме, вызывают хронические легочные заболевания.
o Содержащиеся в табачном дыме вещества раздражают дыхательные пути, снижают эластичность легочной ткани, разрушают стенки легочных альвеол.
o Возникает хроническая одышка, кашель.
o 90% случаев рака легких связано с потреблением табака, содержащиеся в табаке канцерогены и смола приводят к образованию рака и способствуют его развитию. В начале болезни рак легких протекает скрыто. Когда проявляются такие симптомы, как кашель с кровью, затрудненное дыхание, то возможно, что рак уже распространился и на другие органы, особенно в кости, печень и мозг.
Уже через несколько дней после бросания курить улучшается дыхание, а обоняние и вкус обостряются. Через несколько месяцев пропадает и кашель курильщика. Заметно снижается риск различных легочных заболеваний. Тут не стоит забывать, что работа легких улучшается не только при отказе от обычных сигарет, но и при отказе от всех остальных курительных табачных изделий, включая кальян или сигариллы.
Обусловленные курением повреждения клеток и раковые опухоли
Табачные химикаты, вкл. никотин, снижают способность клеток подавлять развитие опухолей. В результате повышается вероятность формирования рака.
В ДНК человека кроется информация, дающая клеткам инструкции для нормальной работы организма. Эта информация упакована в гены. Когда же в ДНК возникает ошибка, появляется мутация, а в работе клеток и генов возникают нарушения. Мутации, при которых происходит бесконтрольное деление и размножение клеток, приводят к возникновению онкологических опухолей [1].
Мутации могут возникнуть случайно при обычном развитии или же они вызваны внешними факторами, например, химикатами из сигарет. Прежде чем возникнет раковая клетка, должно проявиться около шести различных мутаций. У организма есть свои механизмы для исправления мутаций, но они не всегда срабатывают. Если мутация возникает в необходимом для жизни человека гене, а организм не может ликвидировать это повреждение, то образуется раковая клетка.
Обычно раковые клетки возникают в течение длительного срока, но курение ускоряет этот процесс, увеличивая количество мутаций. Курение может быть причиной как минимум 14 различных форм рака.
Хотя у пожилых и ежедневных курильщиков выше риск заболеть раком, важно помнить, что каждая выкуренная сигарета повышает риск заболевания. Всего 15 сигарет достаточно, чтобы вызвать мутацию гена, которая может привести к раку.
Поэтому единственный способ профилактики рака – бросить курить. Хотя уже существующие мутации никуда не денутся, заметно снизится риск возникновения новых мутаций, а следовательно и рака.
Табачные изделия являются факторами риска многих онкологических опухолей, например, сигареты связаны, в числе прочего, с:
o опухолями дыхательных путей и пищевода,
o раком крови, почек, желчного пузыря и желудка.
Потребление снаффа и снюса связано, в первую очередь, с раком полости рта, гортани и поджелудочной железы.
Табачные химикаты могут вызвать рак печени, поскольку печень перерабатывает химикаты, попадающие в организм. Рак печени может сопровождаться сильными болями. Рак может распространиться на печень и из легких.
При отказе от табака снижается риск образования многих и разных опухолей.
Влияние курения на психику
При отказе от никотина заметно улучшается работа мозга, повышается бодрость и способность концентрировать внимание. Также улучшается память, исчезает сонливость и головные боли.
Влияние курения на внешность
При потреблении табачных изделий много очевидных признаков, ухудшающих внешность:
o Ваша кожа имеет серый оттенок, морщины появляются гораздо быстрее.
o Зубы, ногти и пальцы желтеют.
o Дыхание и волосы с одеждой неприятно пахнут.
При отказе от курения существенно улучшаются цвет и эластичность кожи. У некурящих пожилых людей в 5 раз меньше морщин чем у тех, кто в течение 25 лет курил по пачке в день.
Смотрите, что именно курение делает с вашим организмом.
Влияние курения на беременность
Нельзя забывать, что курение снижает потенцию мужчин и может ухудшить качество спермы. Отказ от курения увеличивает способность мужчины стать отцом. И для женщин курение может осложнить процесс зачатия ребенка. При отказе от курения (обязательно и во время беременности) снижается риск многих возможных осложнений.
Курение во время беременности серьезно угрожает здоровью и матери, и будущего ребенка.
Курение матери (как активное, так и пассивное) во время беременности увеличивает опасность следующих осложнений:
Замедление роста зародыша, риск преждевременных родов,
Ребенок рождается с низким весом,
Риск прерывания беременности или тяжелых родов,
Риск синдрома внезапной смерти младенца,
Врожденные нарушения развития у ребенка,
Недостаток грудного молока у матери,
Ребенку требуется врачебная помощь из-за сниженного иммунитета.
Все женщины в начале беременности мечтают о физически и психически здоровом ребенке. Однако факты показывают, что многие будущие мамы-папы не готовы изменить стиль своей жизни и отказаться от вредных привычек, чтобы способствовать рождению здорового ребенка с хорошим потенциалом развития.
Положительное влияние начинается сразу после отказа от курения:
20 минут – нормализуются пульс и кровяное давление
1 час – снижается опасность осложнений во время беременности
8 часов – снижается уровень никотина в крови, улучшается кровоснабжение
1 день – улучшается работа легких, угарный газ (СО) выводится из организма
2 дня – никотин выводится из организма, снижается опасность для роста нерожденного ребенка
3 дня – растет уровень энергии, дыхание становится легче
1 месяц – прошла никотиновая абстиненция после отказа от курения, дыхание и уровень энергии постоянно улучшаются
6 месяцев – снижается риск нарушений дыхания, астмы, аллергии, отитов и пр. у малыша
1 год – снижается риск того, что ребенок закурит в раннем возрасте
Вашему ребенку нужна здоровая мама. Не начинайте снова курить после родов и окончания грудного вскармливания! И никому не разрешайте курить рядом с собой и своим ребенком! Смотрите, как пассивное курение влияет на вашего ребенка
https://www.gp5-taraz.kz/about/allnews/1110-kurenie-opasno-dlya-vashego-zdorovya#sigProId775d1b03fb